TOOTH-COLORED FILLINGS
White Composite Fillings Compared with Amalgam Fillings
This page provides information about the pros and cons of white composite fillings versus silver amalgam fillings. There are several important differences between the two types, it’s not just a matter of appearance. As a patient, your dentist should inform you of the availability of the white composite fillings. If you have had amalgam fillings placed in your mouth without being offered the option of having white fillings instead, the dentist has not performed his or her legal duty. Given the opportunity to make a fully informed choice, my experience is that the vast majority of today’s dental patients will choose the white fillings. There are several reasons for this: In the view of many, the mercury in amalgam is viewed as potentially toxic. (Traditional dentists like to use the term “silver fillings,” but they have more mercury in them than silver.) Also, the feeling is that the white composite represents a more advanced technology. Additionally, composite is more aesthetic. For all these reasons, the public is demanding white. And, with today’s technology, composite fillings can easily withstand the stress required to serve in a back tooth.
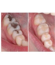
See how beautiful these teeth look after removing the old fillings and replacing them with bonded white fillings. Besides looking better, these teeth are now more resistant to fracture
ADVANTAGES OF WHITE FILLINGS
Since they bond to the tooth, composite fillings restore most of the original strength of the tooth. Silver weakens the teeth, making them more susceptible to breaking. Since broken teeth are very expensive to restore, composites can save a lot of expense over the long run. Composite fillings restore the natural appearance of the tooth. Teeth restored with white fillings are less sensitive to hot and cold than teeth restored with amalgam, if correct techniques are used. Composites are mercury-free. Mercury in the fillings is viewed by some as being toxic. Composites require less removal of tooth structure. Especially with new cavities, the size of the hole made for the filling can be dramatically smaller with composites.
Pit and Fissure Sealants:
Sealants are a safe and effective hard material which is placed in the grooves on a tooth surface. They obliterate the grooves, deep pits, fossa and fissures on the upper (occlusal) surface of the molars (the upper portion of the molars where the food gets chewed).
How do they work?
They work in two ways to prevent caries development:
Keeps substrate (i.e. food and bacteria) out of deep pits, grooves and fissures on the teeth. Create an anaerobic environment which eliminate the aerobic bacteria and other decaying matter residing in this area of the tooth. In cases where a little decay may have been left in deep grooves, cavities may be prevented from spreading since the bacteria are unable to thrive.
